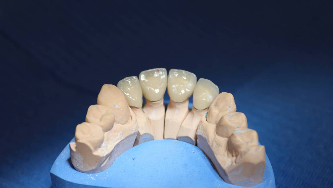
Situatie initiala Situatie initiala Coroane ceramice cimentate Coroane ceramice individuale cimentate Coroane ceramice pe modelul de lucru Coroane ceramice pe modelul de lucru